Cancer statistics make sober reading. The total of 8.2 million deaths recorded in 2012 will climb to 13 million by 2030 and the economic burden of €662 billion of nearly a decade ago will reach crippling proportions within a generation.
But the human and economic jeopardy is increasingly being met head-on by scientific and technological advances. Sweeping medical innovations combined with smart tech will enable us to supercharge diagnostic capabilities and construct treatment pathways that promise better and more cost-effective patient outcomes.
Scientific discovery has given us a golden toolbox of genome sequencing and artificial intelligence programs that can characterize individual patient cancers rather than broad groups.
It should lead to a conveyer belt of breakthroughs: from liquid biopsies screening cancer in the bloodstream before it has time to spread to decoding cancers’ fiendish growth pathways that feed its malignancy.
Oncology is well positioned to reap the rewards and the Philips Future Health Index (FHI) shows that cancer patients are more likely to trust connected technology than others (up to 56%), while 70% of oncologists surveyed agree that integrated health can reduce costs of treating patients with serious or long-term medical conditions.
But scientific, medical and political efforts will need to be harnessed in unison to put these advances to use. Here are the Top 5 trends for 2017, as discussed by Jan Kimpen, Maya Barley and Joop van den Heuvel, that could transform the future of cancer treatment.
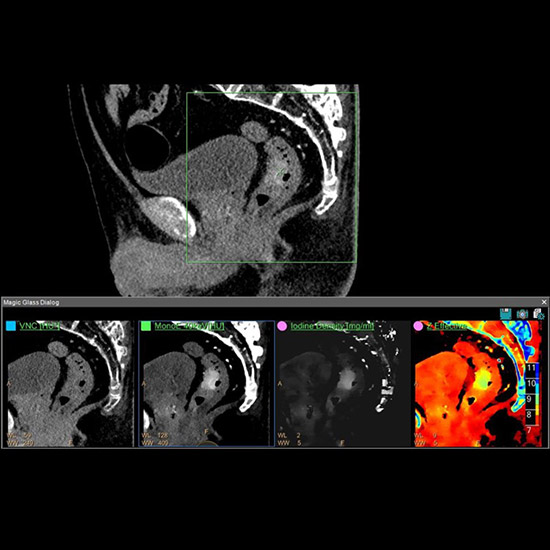
This powerful scanning diagnostic allows clinicians to characterize tumors with more certainty than current standard scanning. It acquires images at two different energy levels to provide a textured landscape that differentiates various elements in the body based on their material density or atomic numbers.
Black and white images from traditional Computed Tomography (CT) scans can be difficult to assess while Spectral CT provides a clearer picture. “It has shown great promise for non-invasive tumor characterization, for biopsy targeting by localizing ‘hot spots’ to improve therapy monitoring,” says Maya Barley, Head of Integrated Solutions and Roadmaps at Philips.
Spectral CT is poised to be the new generation of CT and provides medical teams with new horizons of diagnostic certainty.

Healthcare is awash with data that can be fine-tuned to provide greater insights into disease pathways and what treatments work at any given time.
The reservoir of power from artificial intelligence techniques that create predictive algorithms from this data can be used to tailor the best treatment for individual patients, eradicating medical guesswork and, by a prediction from the McKinsey Global Institute 2013, saving $100 billion annually across the US healthcare system. (i McKinsey)
Jan Kimpen, Chief Medical Officer at Philips, sees Big Data as a critical point in healthcare delivery evolution. “It has reached the point where value is shifting from stand-alone products to solutions comprising systems, smart devices, software and services,” he says. “We are seeing digitization and connectivity, through Big Data, unlocking insights for deep and far-reaching industry transformation.”
“We’re not only providing integrated ways to collect and access data, we’re combining and transforming that data using our clinical expertise to deliver critical clinical information at the right moment to the right people.”
This is particularly relevant in oncology where treatment and drugs costs are high, he adds. Directing patients to tailored therapies, via accurate clinical imaging and the application of Big Data, can drive improved outcomes and cost efficiencies.
A key element in the war against cancer is the power of patient data to stimulate better and more accurate care as well as powering research. The Philips FHI found that oncologists surveyed (at 74%) are the most likely to share patient data with other healthcare professionals.
Fusing Big Data and healthcare technology will also create a climate for the public to take a more active approach to their own health, and dramatically reduce the non-communicable disease burden across the world.
The scalpel, the symbol of surgery for centuries, is fast becoming redundant as a new arsenal of techniques revolutionizes operating theatres.
“There are really exciting developments in this space with the integration of advanced imaging, data analysis and machine learning with robotics, bringing clinical-decision support to human-controlled surgery,” says Maya Barley, Head of Integrated Solutions and Roadmaps at Philips.
Sophisticated clinical-decision support is helping surgeons use robotic devices with an unprecedented edge in accuracy and performance to achieve improved outcomes. For the patients, it means operations can be minimally invasive and, in some cases where high-intensity focused ultrasound can be used, without any surgery.
With intelligence-driven guidance and integration comes a new generation of mechanization that allows the surgeon to transmit his dexterity through the robot.
Cancers can be removed more regularly with sub-millimeter tolerances, increasing the chances of excising tumors at the first attempt to reduce the risk of metastases. The benefits also include the reduced risk of infection at the incision site, quicker recovery, and minimal scarring.
Capital costs have been the biggest anchor to robotic surgery systems becoming more widespread but enhanced ‘intelligence’ capabilities promise to smooth their economic profile for healthcare systems and deliver greater performance under the control of skilled surgeons.
Surgeons are achieving better tumor removal results thanks to real-time diagnostics which feedback a wealth of patient data during operations.
Balancing the safe removal of a tumor with the need to excise the malignancy is a knife edge in one surgical session. It is not always possible to achieve total success – between 20% and 40% of breast cancer patients need a second operation to reach cancer-free status.
Refined, real-time diagnostics can guide surgeons to define sharper protocols that lead to a higher success rate without compromising safety.
“The ability to integrate diagnostics and assessment capabilities with therapy in hospitals, but also at equipment level, has allowed for making significant steps in proving the required information, resulting in improved outcomes. This is recognized by hospitals but also increasingly by patients,” says Joop van den Heuvel, Director of Marketing Oncology Solutions at Philips.
Jan Kimpen adds: “Integrating imaging with surgery, which is possible with digitization, will make the operation much more precise. Not only personalized but also a precision treatment.”
Former National Cancer Institute Director Andrew von Eschenbach, now president of Samaritan Health Initiatives, points out that the use of such high-tech tools provides hope for improving outcomes.
"Here we have real-world data," he says. "We move from data information to real knowledge… It's not just about clinical outcomes, it is helping to revolutionize research."
Excitement is growing for immunotherapy – therapies that harness the power of a patient’s immune system to combat their disease.
One approach to immunotherapy involves engineering the patient’s own immune cells to recognize and attack their tumors, known as adoptive cell transfer (ACT).
Early clinical trials have shown that these engineered immune cells have generated some remarkable responses in patients with advanced cancer. (ii Nature Medicine 2015)
While standard therapies for many common cancers remain toxic and are often ineffective, cellular immunotherapy has the potential to be a highly targeted alternative, with low toxicity to normal tissues but a high capacity to eradicate tumor.
But Jan Kimpen cautions that the treatment is in its infancy and is likely, at first, to benefit a limited number of patients
“There is no way you can deliver this to all patients. You will have to find a way – genomics will help – to select those patients that it could possibly benefit,” he says. “As a new modality of treatment, it will only find its place in oncology if you can squeeze the group to a lower number of patients; otherwise it will be too costly.”
He believes immunotherapy has a strong future in healthcare. It is being viewed as a potential alternative to chemotherapy and radiotherapy – with fewer side effects – but more research is needed, and the medical world needs to devise methods of early and accurate tumor diagnoses so that the immunotherapy can be targeted effectively.
Cancer remains a global scourge. It is a chronic disease needing long-term management with a huge cost burden. All the advances in science, technology and medicine must be coordinated to ensure they have the best chances of success.
Patients need personalized treatments and healthcare systems need to be restructured from the doctor’s surgery, through hospitals and clinics, to the home where monitoring devices and detection machines will play a bigger role in health.
But on this World Cancer Day, it is fitting to envisage the next generation of cancer progress where people can engage easily with their own health and take up the potential offered by connected devices to monitor conditions and focus on healthy living and disease prevention.
“We are addressing the growing need for a new approach to cancer care,” says Jan Kimpen. “We strive to deliver better, more personalized care to patients while reducing healthcare costs.”
Innovation Matters delivers news, opinions and features about healthcare, and is focused on the professionals who work within the industry, as well as Philips as a cutting-edge health technology organization. From interviews with industry giants to how-to guides and features powered by Philips data, our goal is to deliver interesting, educational and entertaining content to empower and inspire all those who work in healthcare or related industries.

Journalist
Danny Buckland is an award-winning health journalist who writes and broadcasts on healthcare technology, current affairs and features. He has worked for major national newspapers, including the Daily Mail, Daily Mirror and The Times, and magazines for more than 25 years.
February 10, 2020
- By Atul Gupta, MD
September 13, 2019
- By Henk van Houten
August 16, 2019
- By Henk van Houten
August 05, 2019
- By Ronald Tabaksblat