Amsterdam, the Netherlands – Royal Philips (NYSE: PHG, AEX: PHIA), a global leader in health technology, today announced the next generation of Philips Advanced Visualization Workspace – IntelliSpace Portal 12 for radiologists. Launched at this year’s virtual Radiological Society of North America Scientific Assembly and Annual Meeting (RSNA 2020), IntelliSpace Portal features a robust set of new AI-assisted quantitative assessment and automatic results generation features to support the diagnostic workflow, including follow-up and communication across cardiology, pulmonology, oncology and neurology. Its AI-assisted pulmonary capabilities include the assessment of complex lung conditions associated with COVID-19. “In the COVID era, the automatic detection and characterization of pulmonary infiltrates, especially in viral pneumonia, is very important,” said Hans-Ulrich Kauczor, professor and chairman of radiology at the University of Heidelberg in Germany. “IntelliSpace Portal’s AI-assisted quantitative assessment capabilities allow general radiologists and residents on call to get the necessary support to help identify COVID pneumonia, which is differentiated from other diagnoses. This also plays a significant role for longitudinal analysis and follow-up.“
The new generation of IntelliSpace Portal adds numerous AI-enabled features that automatically generate quantitative measurements, simplify workflows, and make radiology data available anywhere it’s clinically relevant in an organization.
Calum Cunningham
General Manager of Enterprise Diagnostic Informatics at Philips
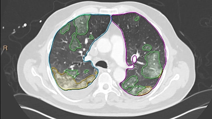
“The immediate and complex long-term needs of COVID-19 patients, combined with the growth of elective care, has highlighted the continued need for advanced fully-integrated radiology solutions that support efficient diagnosis, follow-up and communication across multiple clinical domains,” said Calum Cunningham, General Manager of Enterprise Diagnostic Informatics at Philips. “The new generation of IntelliSpace Portal adds numerous AI-enabled features that automatically generate quantitative measurements, simplify workflows, and make radiology data available anywhere it’s clinically relevant in an organization.” Expanding its ecosystem for radiology solutions, new clinical software packages [1] in cardiology, pulmonology, oncology and neurology being launched with IntelliSpace Portal 12, several of which have been integrated in collaboration with Pie Medical Imaging BV or Riverain Technologies, include: MR Cardiac Analysis – Pre-processing images to deliver AI-based right ventricle and left ventricle segmentation to ensure accurate volumetric and functional measurements, enabling completion of a full cardiac MRI functional analysis in less than 5 minutes [2]. MR Caas™ 4D Flow Analysis – To reduce analysis time and improve reliability of valvular flow quantification [3], Caas [4] MR 4D Flow visualizes and quantifies blood flow patterns in a patient’s heart and main arteries. Pulmonology CT Pulmo Auto Results [5] – Featuring AI algorithms trained on complex pulmonary CT scans, including those of COVID-19 patients, CT Pulmo Auto Results software performs automatic lung segmentation and lesion segmentation, together with classification of ground glass opacities/consolidation. Its automatically generated reports include volume summaries and lesion distribution data to help in the quantitative assessment of pulmonary infiltrates, enhancing diagnostic confidence without increasing reading time. Oncology CT ClearRead™ CAD Lung Nodule Analysis [6] – featuring AI-based detection and characterization for various nodule types including solid, part-solid and ground-glass lung nodules, enabling to perform nodule searches 26% faster and detect 29% of previously missed nodules [7]. Neurology CT Brain Perfusion Analysis – IntelliSpace Portal 12 now supports automatic brain perfusion measurements instantly available on PACS with the option of automatically emailing perfusion results to a stroke patient’s clinicians within two minutes to reduce door-to-needle time. Additional Enhancements The software also includes a new photorealistic volume rendering [8] technology using an interactive virtual light source to improve the visualization of volumes in terms of their depth and relationship to other key anatomies – enhancing its use as an educational and communication tool. Other enhancements in IntelliSpace Portal include workflow innovations for vascular analysis to deliver faster results, new automatic lesion segmentation propagation between time-points for longitudinal tumor tracking, new CaasTM [4] myocardial strain quantification software, and enhanced automatic capabilities for CT coronaries analysis.
Cardiology
At RSNA 2020, Philips will showcase an integrated suite of offerings for the first time, introducing key solutions that come together to enhance the entire radiology workflow to address the most pressing operational challenges across diagnostic and interventional radiology. Philips Advanced Visualization Workspace – IntelliSpace Portal – is a key component for Image and data interpretation within Philips Radiology Workflow Suite, connecting patient data across departments to create interoperability for greater clinical intelligence and analysis, supported by AI-tools such as an algorithm for the detection of COVID-19 lesions. Visit Philips Live at RSNA 2020 for more information on Philips integrated workflow solutions to connect data, technology and people across the diagnostic enterprise, helping to redefine radiology workflow efficiencies.
The COVID-19 pandemic continues to highlight how interconnected the world’s social, economic and environmental challenges are. Philips remains fully focused on delivering against its triple duty of care: meeting critical customer needs, safeguarding the health and safety of its employees, and ensuring business continuity. As a purpose-driven health technology company, Philips is applying its innovation strength to improve the health and well-being of people. The company is deeply committed to doing business responsibly and sustainably, recently setting out a range of challenging new environmental, social and governance targets. [1] Some IntelliSpace Portal functionalities may not be available in all territories. [2] Average RV/LV analysis time measured on validation study 4.2 min +/- 0.4 [3] V.P. Kamphuis et al., Automated Cardiac Valve Tracking for Flow Quantification with Four-dimensional Flow MRI, Radiology, 2019 Jan;290(1):70-78 [4] Caas is a trademark of Pie Medical Imaging BV. [5] The functionality may not be available in all territories. In the United States of America, the CT Pulmo Auto Results can only be used during the National Emergency Concerning the Novel Coronavirus Disease (COVID-19). The CT Pulmo Auto Results functionality is exempt from premarket notification according to the FDA Guidance document for Imaging Systems During the Coronavirus Disease 2019 (COVID-19), and was therefore not cleared by the FDA. It is offered via a trial license only for the duration of the national emergency, until further notice. [6] ClearRead CT is a trademark of Riverain Technologies. [7] ShihChung et al. AJR 2018; 210:480-488 [8] IntelliSpace Portal’s Photorealistic Volume Rendering is not intended for diagnostic image review
Royal Philips (NYSE: PHG, AEX: PHIA) is a leading health technology company focused on improving people's health and well-being, and enabling better outcomes across the health continuum – from healthy living and prevention, to diagnosis, treatment and home care. Philips leverages advanced technology and deep clinical and consumer insights to deliver integrated solutions. Headquartered in the Netherlands, the company is a leader in diagnostic imaging, image-guided therapy, patient monitoring and health informatics, as well as in consumer health and home care. Philips generated 2019 sales of EUR 19.5 billion and employs approximately 81,000 employees with sales and services in more than 100 countries. News about Philips can be found at www.philips.com/newscenter.
